YC科技资讯网
一个影像达人的文章
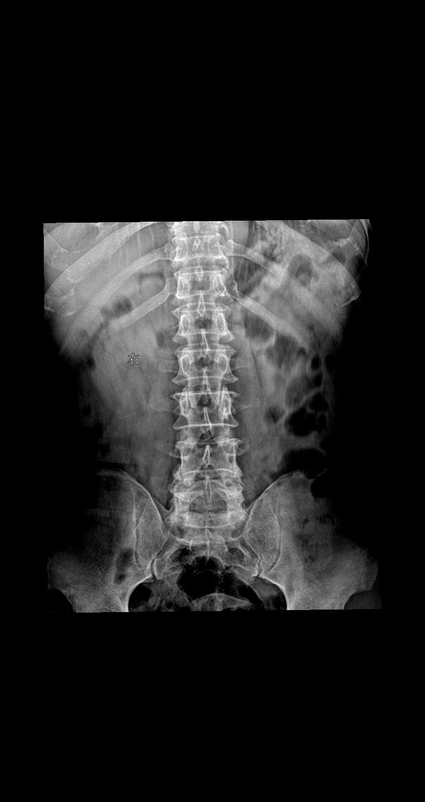
男 45 腰椎疼痛
2025-08-24 22:39
男 45 腰椎疼痛
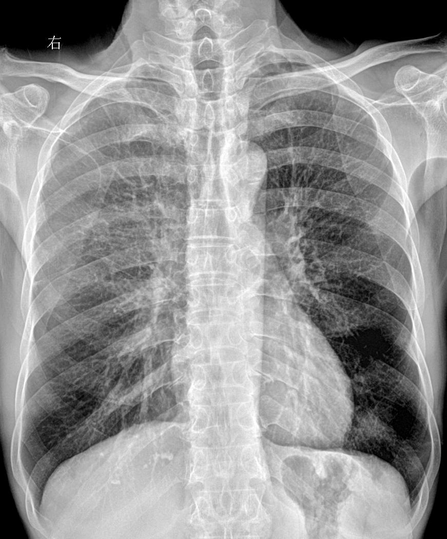
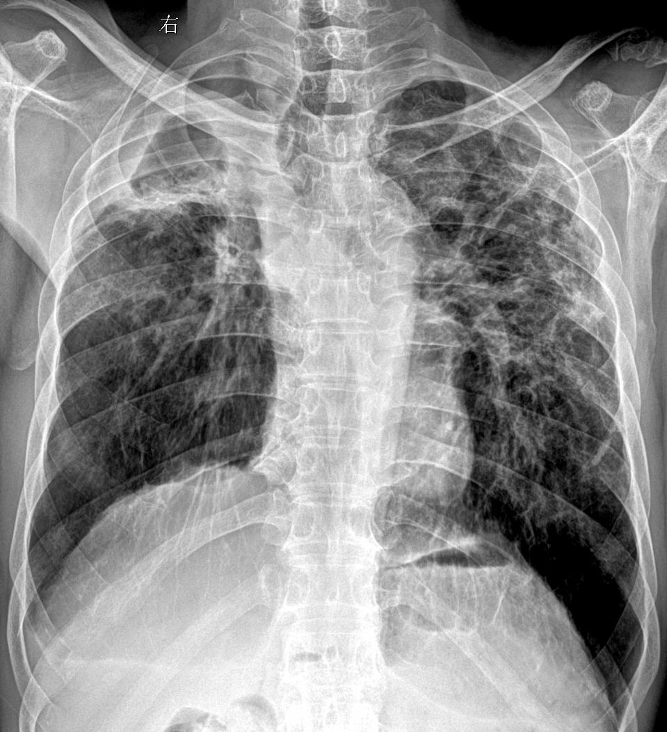
胸闷气短
2025-08-09 18:35
胸闷气短
男34 腰椎疼痛 颈椎正侧+腰椎正侧
2025-07-23 01:38
男34 腰椎疼痛 颈椎正侧+腰椎正侧
从梯子上落下 外伤就诊
2025-07-18 01:34
从梯子上落下 外伤就诊
腰椎正侧位
2025-07-04 01:34
腰椎正侧位
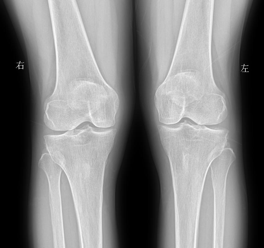
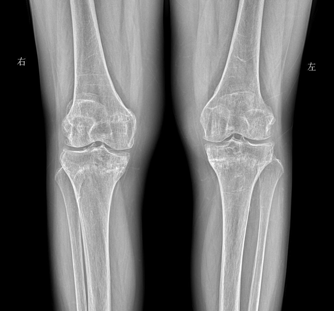
行走膝盖 脚底疼痛就诊 女69岁 考虑什么问题?
2025-06-17 01:29
行走膝盖 脚底疼痛就诊 女69岁 考虑什么问题?
来一张迟到的成绩单 逢考必过家人们 评论区评论接好运
2025-06-14 01:27
来一张迟到的成绩单 逢考必过家人们 评论区评论接好运
女 35岁 下肢麻木
2025-06-13 01:25
女 35岁 下肢麻木
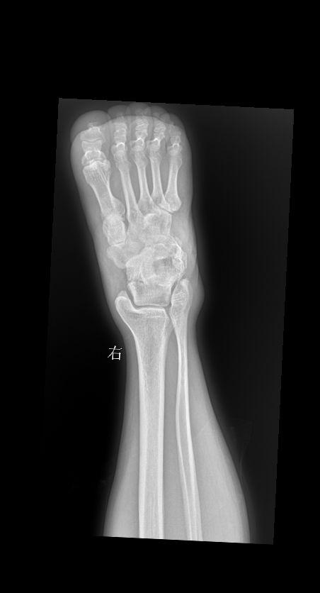
腕关节扭伤三天就诊 男 73y
2025-06-01 01:26
腕关节扭伤三天就诊 男 73y
老师们拍摄膝关节采取站立位还是卧位
2025-05-22 01:35
老师们拍摄膝关节采取站立位还是卧位
男 55 腰部疼痛就诊
2025-05-09 02:14
男 55 腰部疼痛就诊
颈部疼痛 头晕 就诊
2025-04-17 17:02
颈部疼痛 头晕 就诊
颈椎疼痛 头晕 就诊
2025-04-19 16:41
颈椎疼痛 头晕 就诊
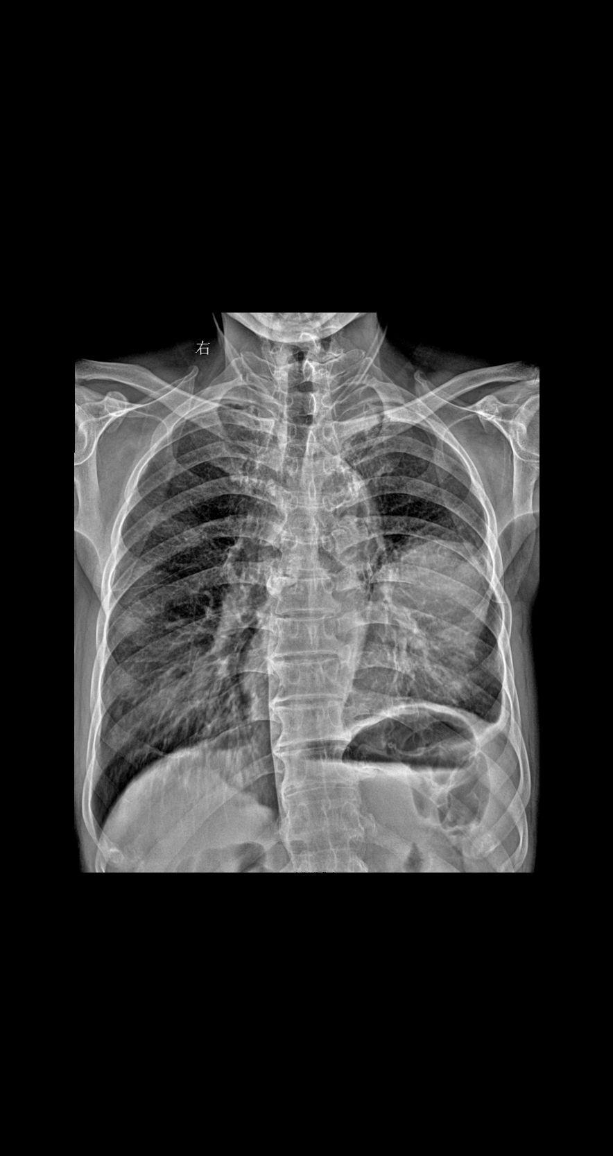
考完了大家考的怎么样 开始继续搬砖吧 男61疫情得过白肺 现在胸闷
2025-04-15 00:05
考完了大家考的怎么样 开始继续搬砖吧 男61疫情得过白肺 现在胸闷
男 89岁 胸闷
2025-03-31 16:36
男 89岁 胸闷
来了来了ok 大家踊跃参与讨论 患者主诉:男 52y 下肢麻木 酸疼 ...
2025-03-23 16:33
来了来了ok 大家踊跃参与讨论 患者主诉:男 52y 下肢麻木 酸疼 ...
来个不一样的作品 在最后的28天内祝大家终将上岸
2025-03-22 16:32
来个不一样的作品 在最后的28天内祝大家终将上岸
女 26 右侧腰背部疼痛 腰椎正侧位
2025-03-21 16:31
女 26 右侧腰背部疼痛 腰椎正侧位
主诉 患者右侧膝盖疼痛 男47
2025-03-20 16:38
主诉 患者右侧膝盖疼痛 男47
男 13y 外伤 右手正斜位
2025-03-14 16:32
男 13y 外伤 右手正斜位
第一页
下一页
作者信息
一个影像达人
感谢大家的关注
分类: 健康
热门分类
推荐
热榜
军事
NBA
体育
社会
明星八卦
娱乐
财经
科技
汽车
历史
国际
游戏
动漫
公益
搞笑
商业
互联网
数码
国际足球
房产
家居
时尚
科学探索
职场
育儿
股票
教育
影视
情感
热点
中国军情
武器
中国南海
中国足球
亚洲杯
科比
综合体育
CBA
投资
楼市
大咖秀
外汇
创业
风口
SUV
豪车
概念车
优惠
新能源
美国
欧洲
朝日韩
俄罗斯
孕期
街拍
恋爱攻略
婚姻
正能量