YC科技资讯网
一个影像达人的文章
男 36岁 外伤 腰椎正侧位
2025-03-08 16:31
男 36岁 外伤 腰椎正侧位
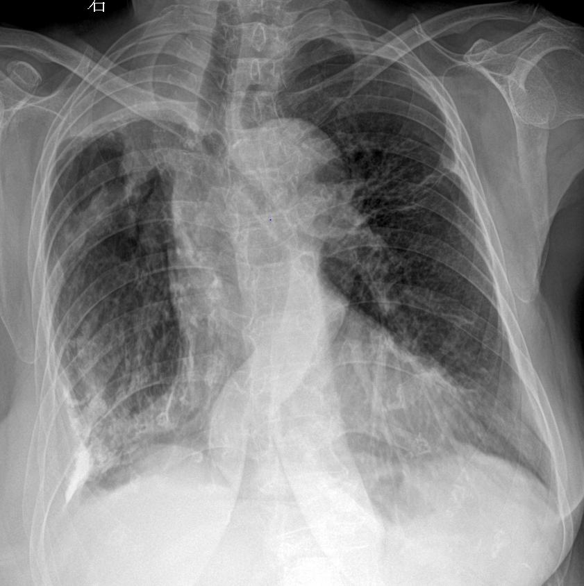
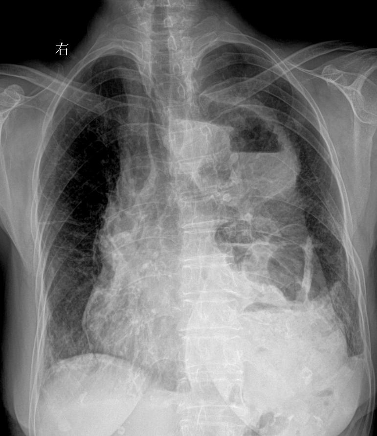
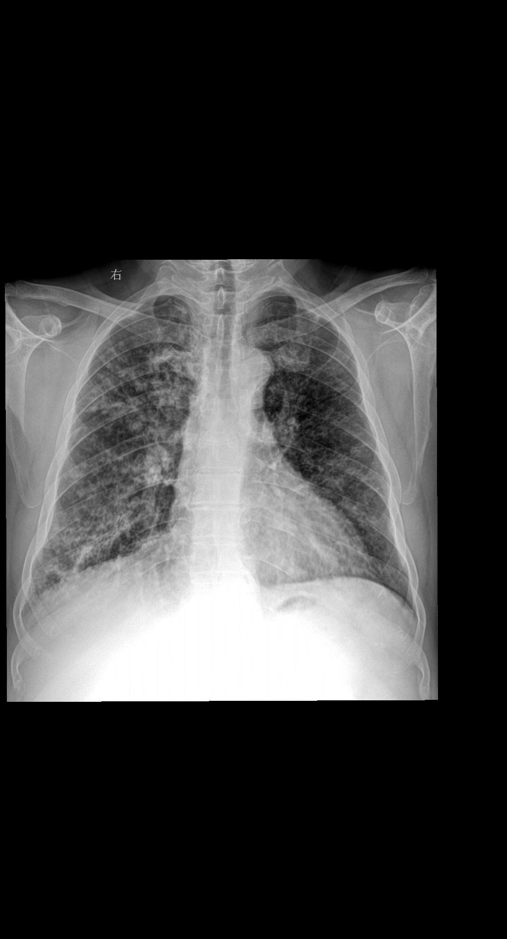
食管癌术后 胸闷就诊 女89岁
2025-03-01 16:24
食管癌术后 胸闷就诊 女89岁
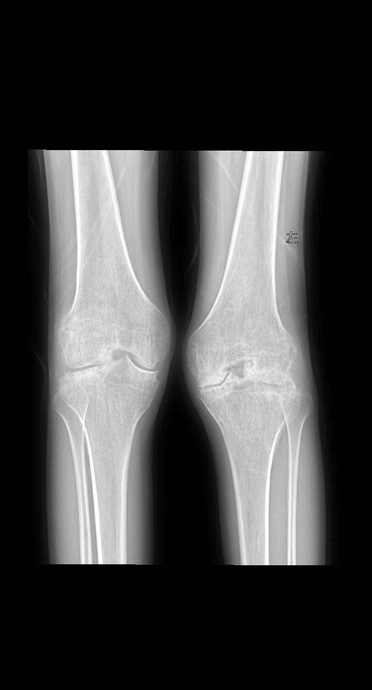
患者女 74岁行走时膝关节疼痛就诊
2025-02-28 16:07
患者女 74岁行走时膝关节疼痛就诊
主诉:咳嗽 闷气 男 80y 考虑什么家人们?答案打到评论区
2025-02-25 16:12
主诉:咳嗽 闷气 男 80y 考虑什么家人们?答案打到评论区
来张颈椎四位片瞅瞅大家怎么拍的
2025-02-20 16:06
来张颈椎四位片瞅瞅大家怎么拍的
日常体检 无症状
2025-02-17 15:53
日常体检 无症状
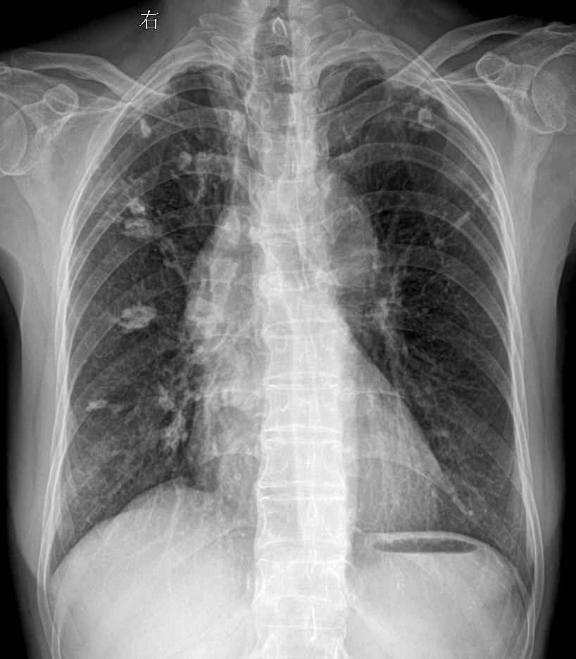
回归工作 双肺可见高密度影钙化灶?陈旧性肺结核?主诉:女 68y 胸闷...
2025-02-15 15:53
回归工作 双肺可见高密度影钙化灶?陈旧性肺结核?主诉:女 68y 胸闷...
粉丝朋友圈帮我扫一下下
2025-02-08 15:45
粉丝朋友圈帮我扫一下下
颈椎术后,疼痛就诊 45岁
2025-01-13 15:32
颈椎术后,疼痛就诊 45岁
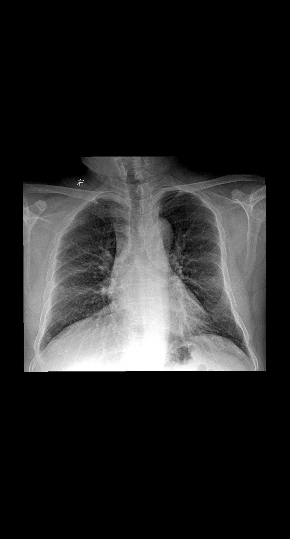
家人们你们拍胸片的时候让患者深呼吸憋气吗 患者主诉咳嗽感冒一周29岁女
2024-12-22 17:44
家人们你们拍胸片的时候让患者深呼吸憋气吗 患者主诉咳嗽感冒一周29岁女
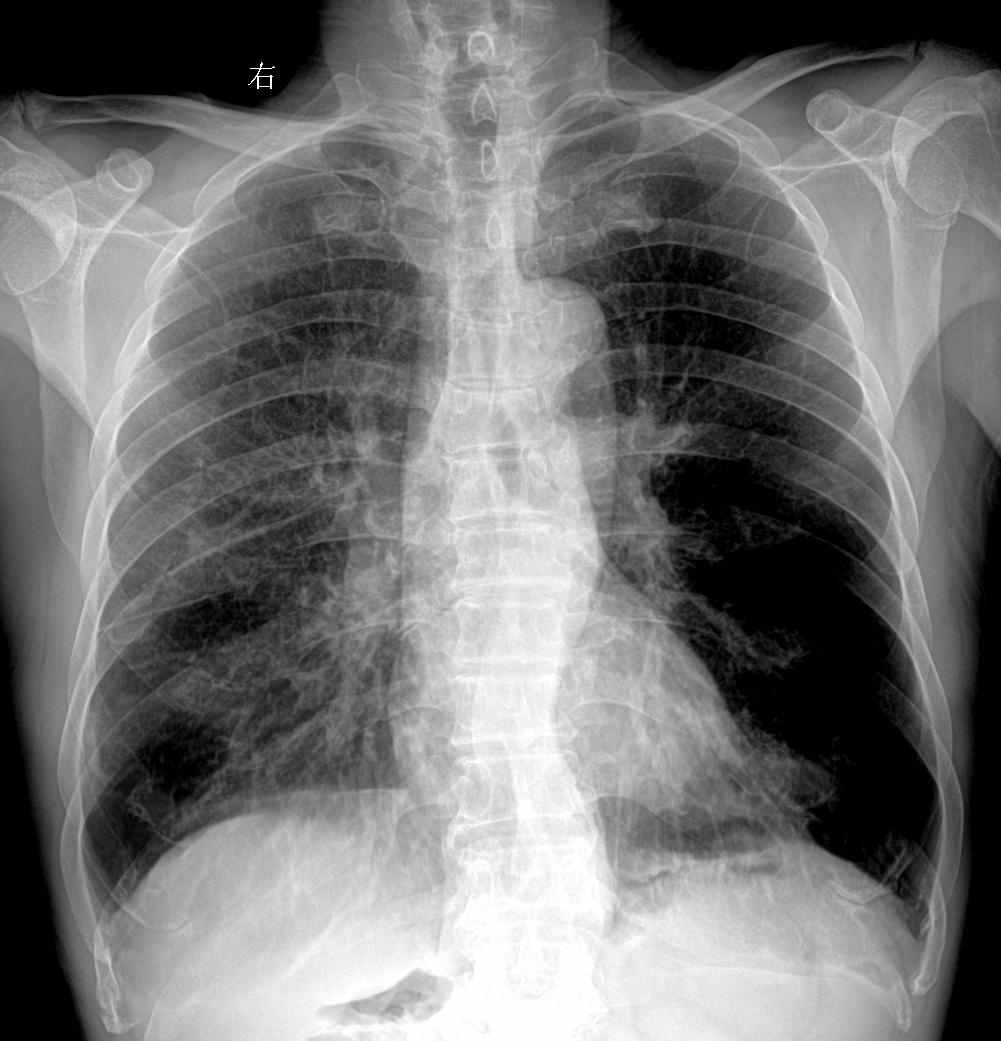
胸闷气短,85岁 女,考虑什么家人们
2024-12-17 16:46
胸闷气短,85岁 女,考虑什么家人们
咳嗽胸闷就诊 男81岁
2024-12-17 18:02
咳嗽胸闷就诊 男81岁
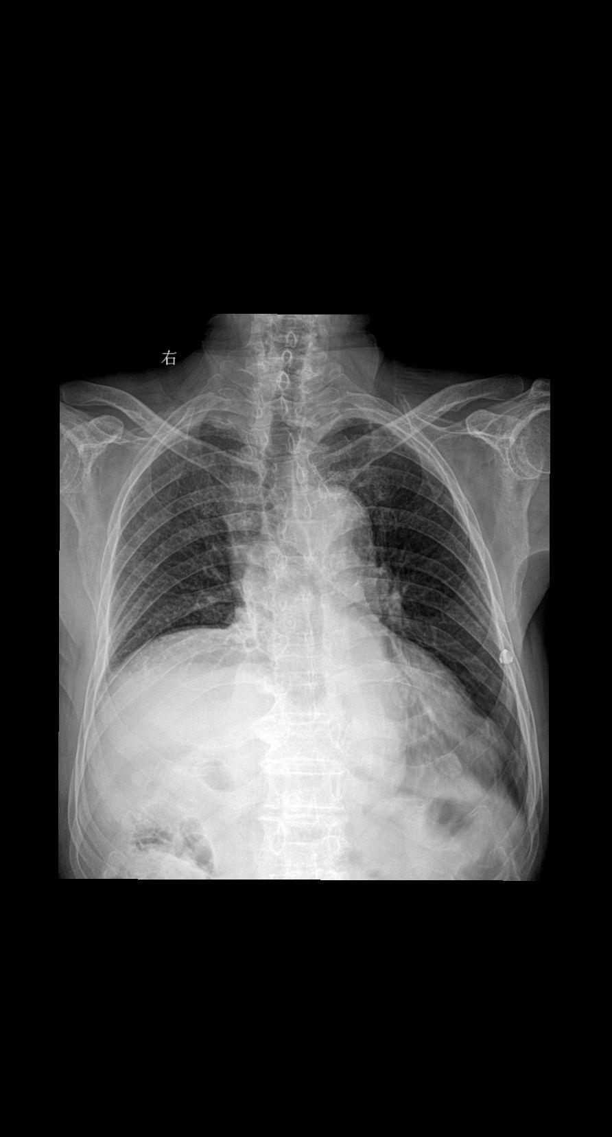
男70岁胸闷咳嗽一周就诊
2024-12-10 18:38
男70岁胸闷咳嗽一周就诊
血友病
2024-11-13 15:58
血友病
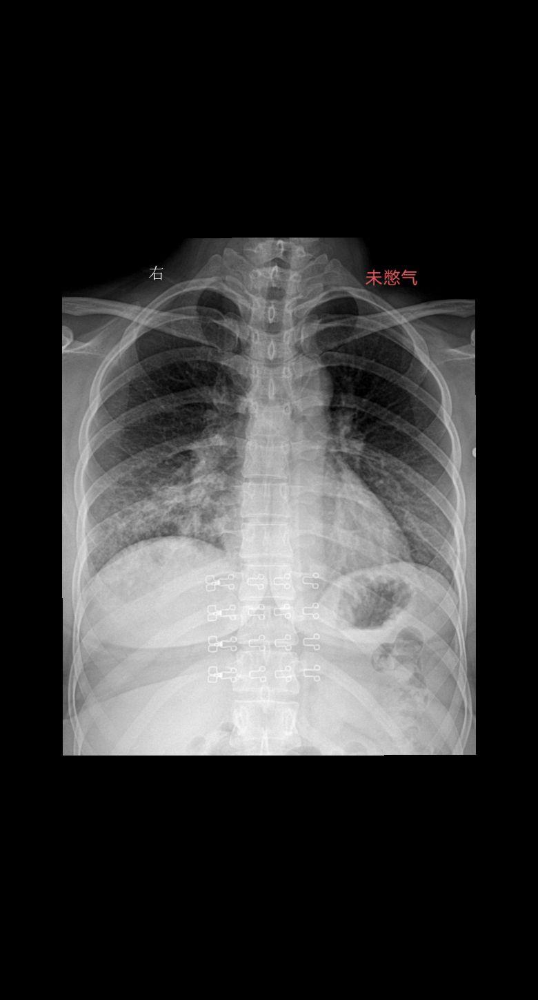
术后 复查 女61
2024-11-08 15:58
术后 复查 女61
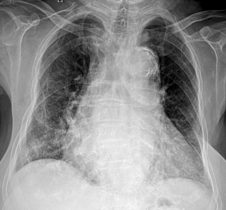
胸闷咳嗽就诊 男 80
2024-11-07 15:58
胸闷咳嗽就诊 男 80
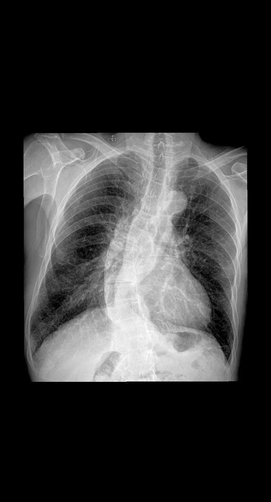
男 89岁 胸闷 咳嗽就诊
2024-11-06 15:58
男 89岁 胸闷 咳嗽就诊
胸闷男63y
2024-10-12 17:24
胸闷男63y
咳嗽胸闷,考虑慢支肺气肿?
2024-09-28 15:07
咳嗽胸闷,考虑慢支肺气肿?
胸闷 就诊
2024-09-14 15:40
胸闷 就诊
第一页
下一页
作者信息
一个影像达人
感谢大家的关注
分类: 健康
热门分类
推荐
热榜
军事
NBA
体育
社会
明星八卦
娱乐
财经
科技
汽车
历史
国际
游戏
动漫
公益
搞笑
商业
互联网
数码
国际足球
房产
家居
时尚
科学探索
职场
育儿
股票
教育
影视
情感
热点
中国军情
武器
中国南海
中国足球
亚洲杯
科比
综合体育
CBA
投资
楼市
大咖秀
外汇
创业
风口
SUV
豪车
概念车
优惠
新能源
美国
欧洲
朝日韩
俄罗斯
孕期
街拍
恋爱攻略
婚姻
正能量