YC科技资讯网
一个影像达人的文章
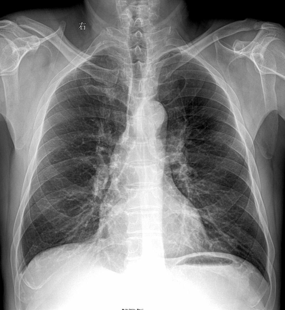
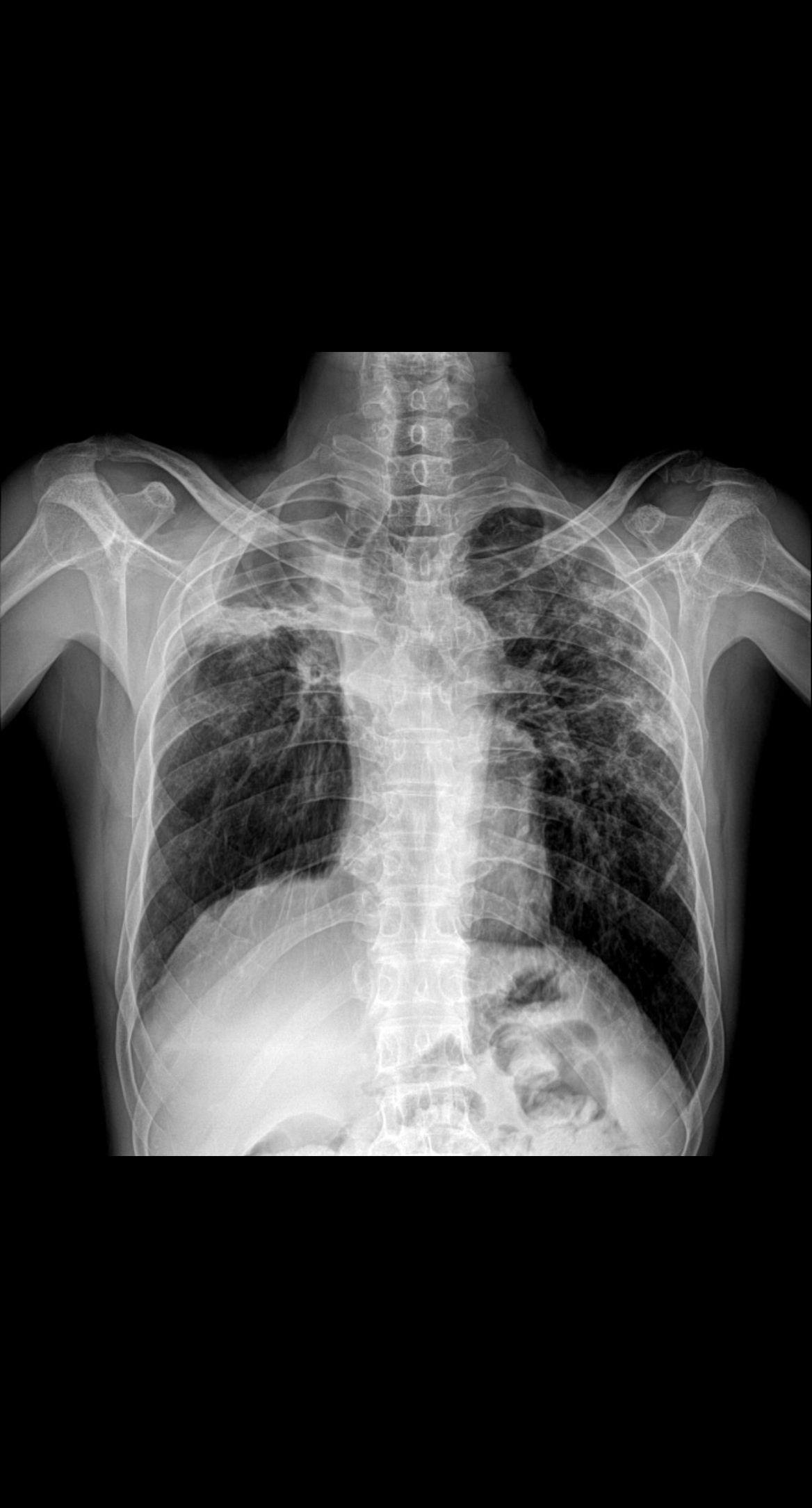
男 57y 咳嗽带红色痰 感冒胸闷就诊
2024-08-22 14:14
男 57y 咳嗽带红色痰 感冒胸闷就诊
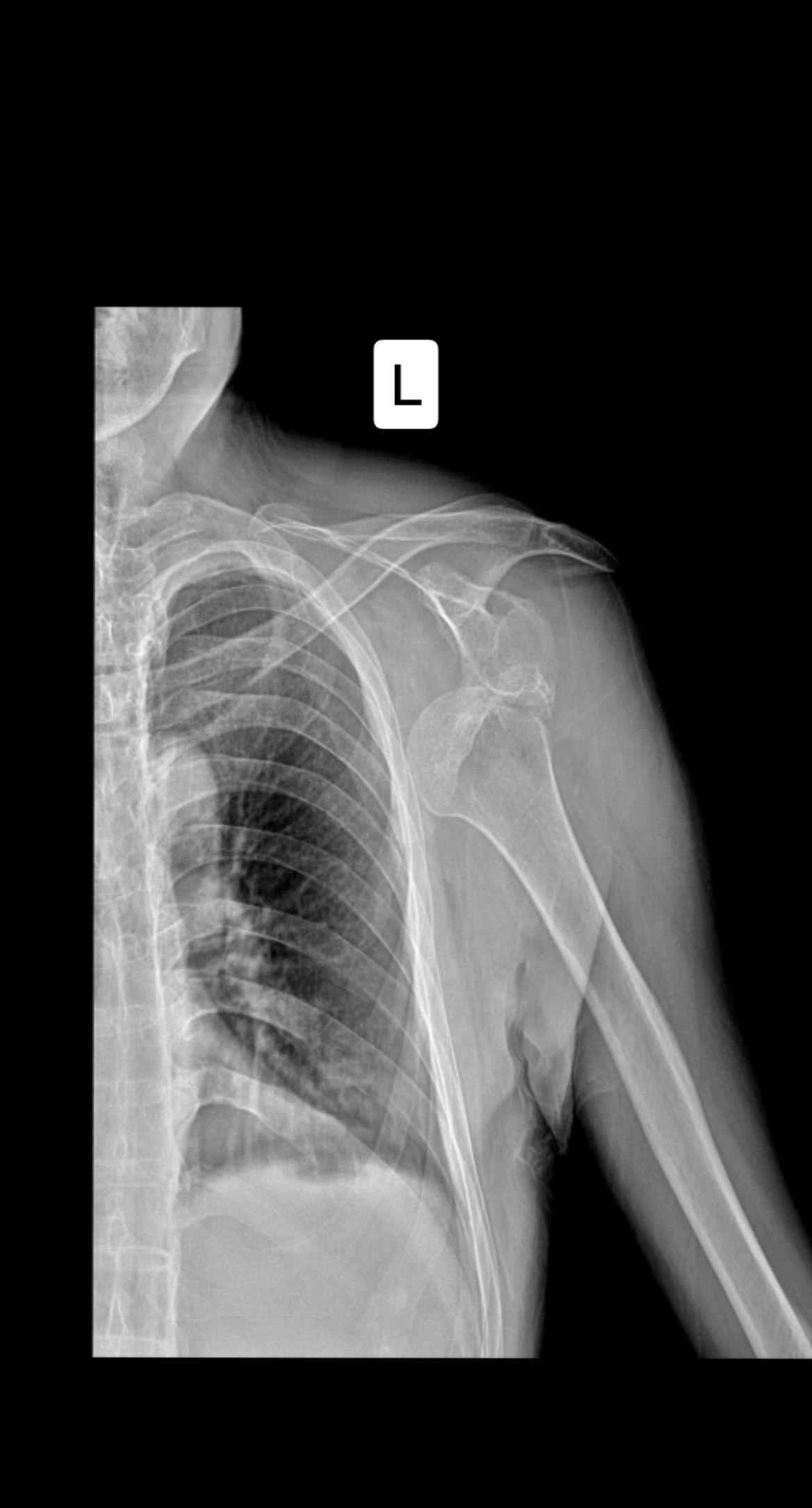
体征:车祸术后两年,颈椎疼痛就诊
2024-08-16 14:14
体征:车祸术后两年,颈椎疼痛就诊
男,79y,腰疼就诊
2024-08-13 14:09
男,79y,腰疼就诊
右足底疼痛
2024-07-30 16:36
右足底疼痛
柯瓦氏位,副鼻窦有无问题家人们
2024-06-10 13:07
柯瓦氏位,副鼻窦有无问题家人们
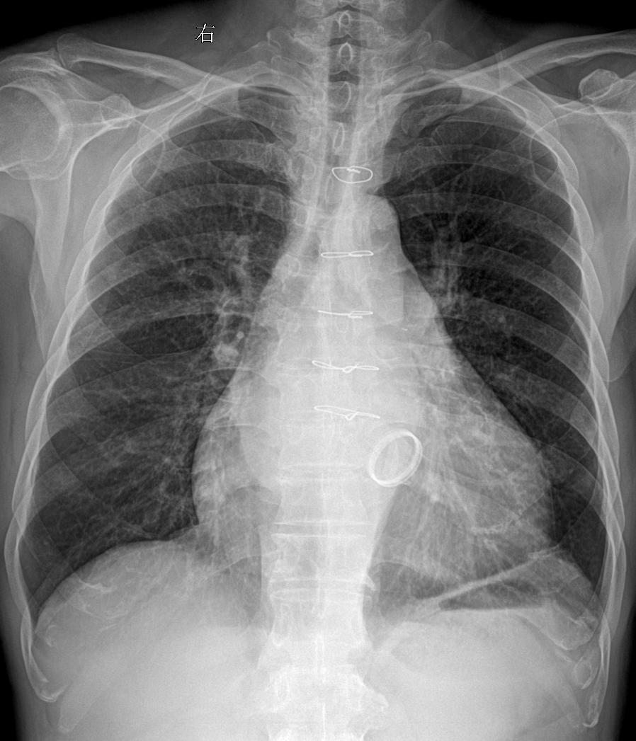
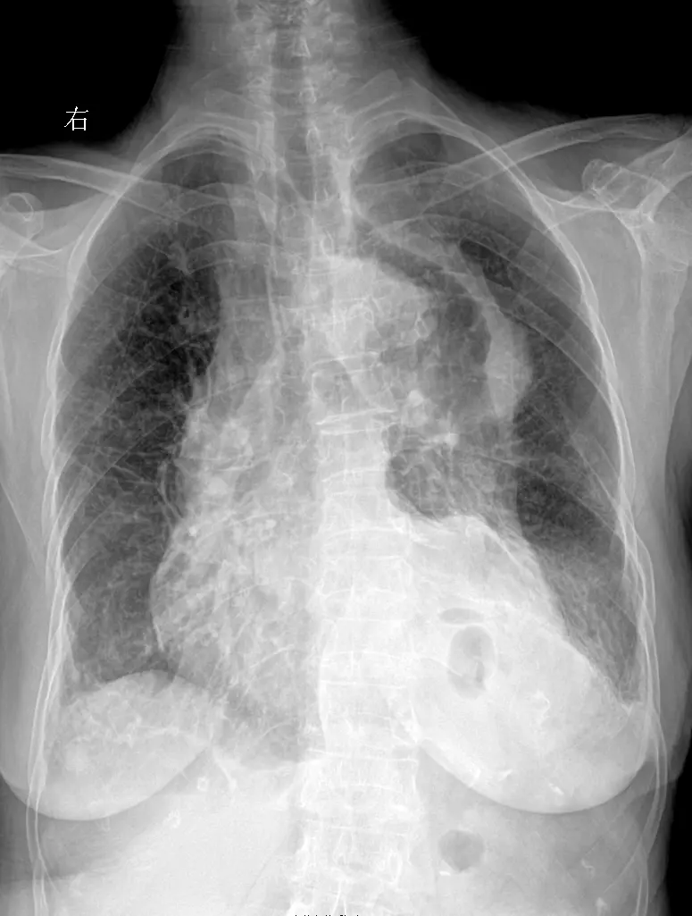
术后胸闷就诊 考虑什么?家银们
2024-06-04 12:40
术后胸闷就诊 考虑什么?家银们
腰椎疼痛,下肢麻木酸疼
2024-06-03 19:19
腰椎疼痛,下肢麻木酸疼
上期被查封 重新发一下家人们 再来一起探讨下肺结核 胸部正位片
2024-06-03 19:23
上期被查封 重新发一下家人们 再来一起探讨下肺结核 胸部正位片
左肘关节外伤就诊
2024-06-03 19:24
左肘关节外伤就诊
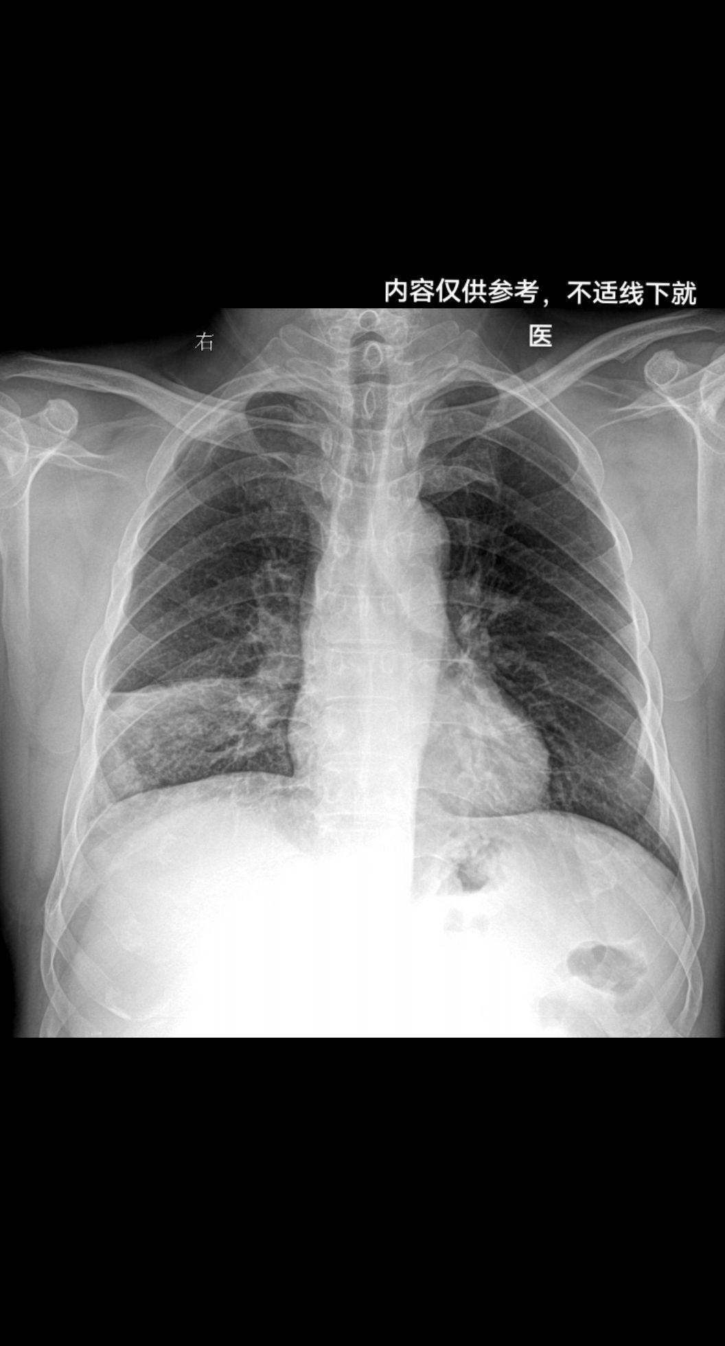
咳嗽胸闷就诊
2024-06-03 19:30
咳嗽胸闷就诊
又来一张,患者主诉:胸闷,咳痰
2024-06-03 19:31
又来一张,患者主诉:胸闷,咳痰
腰椎疼痛,滑脱几度?
2024-06-03 19:32
腰椎疼痛,滑脱几度?
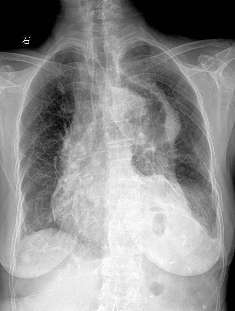
右侧肺门出类圆形高密度影,形态规则,边缘光滑,考虑什么?
2024-06-03 19:33
右侧肺门出类圆形高密度影,形态规则,边缘光滑,考虑什么?
腰部疼痛
2024-06-03 19:33
腰部疼痛
肩关节脱位?
2024-05-24 20:19
肩关节脱位?
胸闷咳嗽就诊,考虑什么家人们?
2024-05-25 11:15
胸闷咳嗽就诊,考虑什么家人们?
第一页
作者信息
一个影像达人
感谢大家的关注
分类: 健康
热门分类
推荐
热榜
军事
NBA
体育
社会
明星八卦
娱乐
财经
科技
汽车
历史
国际
游戏
动漫
公益
搞笑
商业
互联网
数码
国际足球
房产
家居
时尚
科学探索
职场
育儿
股票
教育
影视
情感
热点
中国军情
武器
中国南海
中国足球
亚洲杯
科比
综合体育
CBA
投资
楼市
大咖秀
外汇
创业
风口
SUV
豪车
概念车
优惠
新能源
美国
欧洲
朝日韩
俄罗斯
孕期
街拍
恋爱攻略
婚姻
正能量