YC科技资讯网
一个影像达人的文章
从白大褂到摄像机,用镜头记录爱情 曾经在X光下观察生命 如今用镜头记录...
2026-04-14 03:37
从白大褂到摄像机,用镜头记录爱情 曾经在X光下观察生命 如今用镜头记录...
尊敬的伦琴先生 祝我们4月25日考试一切顺利!!!
2026-04-10 03:37
尊敬的伦琴先生 祝我们4月25日考试一切顺利!!!
2026年的老年人体检进行中 看看你门的机器展示到评论区
2026-04-08 03:40
2026年的老年人体检进行中 看看你门的机器展示到评论区
明天谁上班 我不上
2026-02-25 06:14
明天谁上班 我不上
想问问你们迎财讲究
2026-02-22 04:25
想问问你们迎财讲究
医学生放射科医生的日常 放射科医学影像
2026-02-20 04:26
医学生放射科医生的日常 放射科医学影像
我想问问年夜饭创意菜
2026-02-08 04:22
我想问问年夜饭创意菜
想问问大家过年什么安排呀?
2026-02-07 04:27
想问问大家过年什么安排呀?
有需要电子书的私信我
2025-12-24 04:14
有需要电子书的私信我
2025 年12月21日 来自老年人体检一个人在基层的工作量 加油
2025-12-22 04:04
2025 年12月21日 来自老年人体检一个人在基层的工作量 加油
我再也不会迷恋这种生活 折磨我两年的石头终于出来了
2025-12-19 04:02
我再也不会迷恋这种生活 折磨我两年的石头终于出来了
老师们 近膀胱处1cm 12*7结石怎么排出来 必须手术或者碎石吗
2025-12-15 03:59
老师们 近膀胱处1cm 12*7结石怎么排出来 必须手术或者碎石吗
男 71 外伤疼痛20天 软组织肿胀
2025-11-27 03:52
男 71 外伤疼痛20天 软组织肿胀
男 19岁 外伤 平对脐平面按压疼痛
2025-11-24 03:48
男 19岁 外伤 平对脐平面按压疼痛
女74骨折一月复查
2025-11-16 19:10
女74骨折一月复查
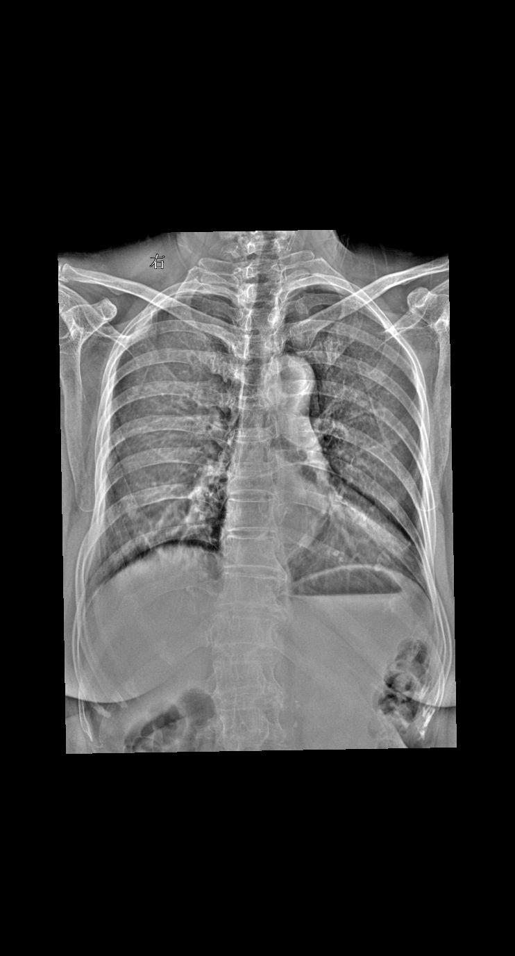
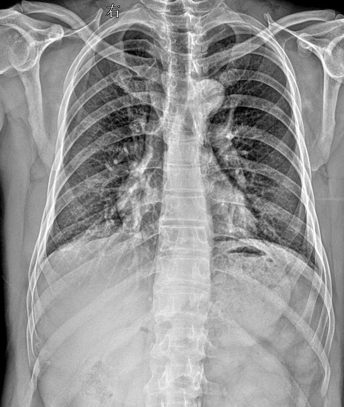
男 45外伤 胸廓正斜位
2025-11-09 19:06
男 45外伤 胸廓正斜位
中秋快乐
2025-10-06 18:49
中秋快乐
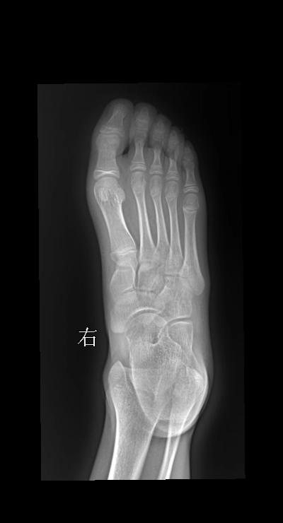
足外伤 14岁 女 第一跖骨软组织肿胀
2025-09-19 19:19
足外伤 14岁 女 第一跖骨软组织肿胀
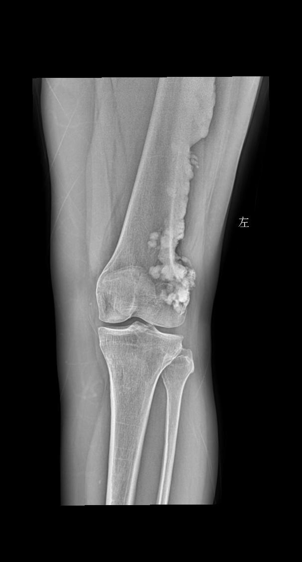
良性还是恶性?
2025-09-12 18:45
良性还是恶性?
女 55 左侧关节疼痛
2025-09-11 18:45
女 55 左侧关节疼痛
第一页
下一页
作者信息
一个影像达人
感谢大家的关注
分类: 健康
热门分类
推荐
热榜
军事
NBA
体育
社会
明星八卦
娱乐
财经
科技
汽车
历史
国际
游戏
动漫
公益
搞笑
商业
互联网
数码
国际足球
房产
家居
时尚
科学探索
职场
育儿
股票
教育
影视
情感
热点
中国军情
武器
中国南海
中国足球
亚洲杯
科比
综合体育
CBA
投资
楼市
大咖秀
外汇
创业
风口
SUV
豪车
概念车
优惠
新能源
美国
欧洲
朝日韩
俄罗斯
孕期
街拍
恋爱攻略
婚姻
正能量